СПбГПМУ

Врачи Педиатрического университета выполнили рентгенэндоваскулярную имплантацию клапана лёгочной артерии 14-летнему пациенту из Луганска

Университет
Дата публикации: 20 декабря 2023

Медики применили минимально инвазивную методику, что позволило избежать операции на открытом сердце. Процедура имплантации клапана заняла 2,5 часа, на следующие сутки ребёнка перевели из реанимации в отделение кардиоревматологии. В ближайшее время мальчик вернётся домой.

Как пояснил заведующий кардиохирургической службой клиники Педиатрического университета Андрей Нохрин, у Максима из ЛНР был врожденный стеноз аортального клапана. В 2009 году ребёнку провели баллонную дилатацию – расширили просвет клапана аорты с помощью специального катетера. Спустя год процедуру потребовалось повторить. В 2014 мальчику выполнили операцию Росса – заменили аортальный клапан собственным лёгочным клапаном. На место клапана лёгочной артерии имплантировали так называемый кондуит – трубку с клапаном из специальных материалов – дакрона и гортекса. 

В 2021-м у пациента развился стеноз клапансодержащего кондуита, но врачи смогли разрешить ситуацию методом баллонной ангиопластики. Однако в последующие годы вновь возник стеноз в этой же зоне, что привело к повышению давления в правых отделах сердца и сердечной недостаточности. Ребёнку требовалось высокотехнологичное лечение, и в ходе консилиума под руководством ректора СПбГПМУ Дмитрия Иванова было принято решение о госпитализации Максима в федеральную клинику вуза. 

 

– Операция Росса – это «золотой стандарт» хирургического лечения пороков аортального клапана. Собственный клапан обычно служит на протяжении всей жизни пациента, а у детей, к тому же, имеет возможность расти вместе со всем организмом. Однако спустя несколько лет после операции возникает дисфункция кондуита в легочной артерии. Створки искусственного клапана кальцинируются, либо происходит их некальциевая дегенерация. Возникает вопрос: как заменить – выполнить большую открытую операцию или малоинвазивное вмешательство, – сообщил Андрей Нохрин. 

Критерий тут – особенности анатомии пациента, строения его сосудов. Рентгенэндоваскулярный метод, к сожалению, подходит далеко не всем детям, и в большинстве случаев хирурги проводят операцию на открытом с сердце с применением искусственного кровообращения. 

 

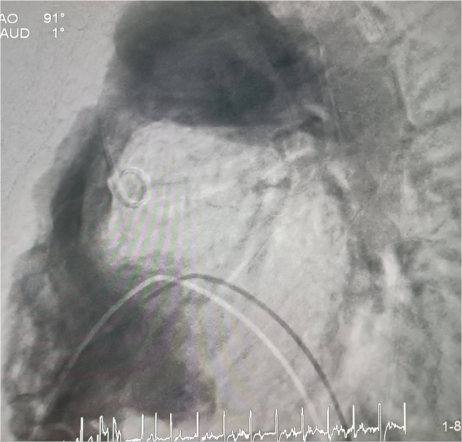
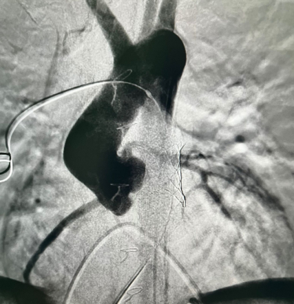
– Нам доступны клапаны с размерной линейкой от 2 до 3-х сантиметров. Клапан можно имплантировать, если размер выводного тракта и самого кондуита  – места, куда надо ставить клапан – от 2 до 3-х см. Если диаметр меньше, то клапан будет кальцинироваться, тромбироваться, створки перестанут работать и снова произойдёт стеноз, – пояснил рентгенэндоваскулярный хирург Михаил  Комиссаров.

У пациента из Луганской Народной Республики просвет ранее имплантированного кондуита составлял 1,5 сантиметра, поэтому рентгенхирурги на первом этапе расширили его методом баллонной дилатации. При этом был риск разрыва сосуда, поэтому, чтобы избежать возможных осложнений, медики сначала имплантировали стентграфт – металлический каркас, покрытый герметичным полимером. Просвет кондуита удалось расширить до необходимого диаметра. Затем через бедренную вену хирурги доставили к сердцу искусственный биологический клапан лёгочной артерии Myval индийского производства. 

Сложную операцию провела команда врачей Педиатрического университета - рентгенэндоваскулярные хирурги Михаил Комиссаров, Владимир Приворотский и Иван Алешин. Неоценимую помощь медикам СПбГПМУ оказал заведующий отделением рентгенэндоваскулярных методов диагностики и лечения  Городской многопрофильной больницы №2 Евгений Шлойдо.

 

– Новый клапан прослужит несколько лет. Что особенно важно, в дальнейшем можно будет выполнить малоинвазивную процедуру имплантации клапана по технологии «стент в стент», – отметил заведующий кардиохирургической службой.

Высокотехнологичную медицинскую помощь ребёнок получил по квоте Минздрава за счёт бюджета Российской Федерации. 

                                                                                               

- Благодаря поддержке ректора и администрации университета, в работу клиники постоянно внедряются самые современные методики лечения. Мы освоили ещё одну сложную технологию, направленную на улучшение качества жизни пациента, сокращение периода реабилитации, - сказал Андрей Нохрин. 

В четверг Максим вместе с мамой отправится домой. Врачи Педиатрического университета продолжат контролировать состояние мальчика. 

 

Врачи Педиатрического университета выполнили рентгенэндоваскулярную имплантацию клапана лёгочной артерии 14-летнему пациенту из Луганска 1
Врачи Педиатрического университета выполнили рентгенэндоваскулярную имплантацию клапана лёгочной артерии 14-летнему пациенту из Луганска 2
Врачи Педиатрического университета выполнили рентгенэндоваскулярную имплантацию клапана лёгочной артерии 14-летнему пациенту из Луганска 3
Врачи Педиатрического университета выполнили рентгенэндоваскулярную имплантацию клапана лёгочной артерии 14-летнему пациенту из Луганска 4
Врачи Педиатрического университета выполнили рентгенэндоваскулярную имплантацию клапана лёгочной артерии 14-летнему пациенту из Луганска 5
Врачи Педиатрического университета выполнили рентгенэндоваскулярную имплантацию клапана лёгочной артерии 14-летнему пациенту из Луганска 6
Врачи Педиатрического университета выполнили рентгенэндоваскулярную имплантацию клапана лёгочной артерии 14-летнему пациенту из Луганска 7
Врачи Педиатрического университета выполнили рентгенэндоваскулярную имплантацию клапана лёгочной артерии 14-летнему пациенту из Луганска 8
Врачи Педиатрического университета выполнили рентгенэндоваскулярную имплантацию клапана лёгочной артерии 14-летнему пациенту из Луганска 9
Врачи Педиатрического университета выполнили рентгенэндоваскулярную имплантацию клапана лёгочной артерии 14-летнему пациенту из Луганска 10
Поделиться в социальных сетях:
Дата публикации: 20 декабря 2023

Похожие новости

III Всероссийская научно-практическая конференция «Клиническая психология: рождение и жизнь»

Конференция пройдет 3-4 октября 2025 года в Санкт-Петербурге

Циклы повышения квалификации для преподавателей

Регистрация на цикл осуществляется через портал непрерывного медицинского образования

Кафедра реабилитологии ФП и ДПО приглашает студентов медицинских вузов, врачей, медицинских сестер на цикл профессиональной переподготовки «Медицинский массаж»

Цикл пройдет с 29 сентября по 22 ноября 2025 года